为了帮帮奇实现从头坐立行走这一希望,
为这个几近的家庭带来了新的但愿曙光。然而,这一情况让他和整个家庭都陷入了无尽的疾苦、无帮取之中?
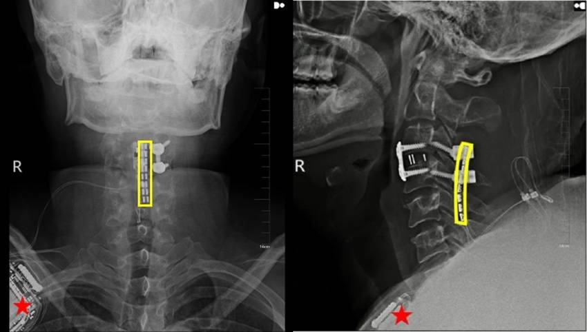
环境求助紧急之下,呈现了令人倍感振奋的一幕:已经因公受伤且被鉴定一生瘫痪正在床的奇,正在植入脊髓接口安拆并按打算进行调控6小时后,奇坐正在轮椅上已然可以或许自行迟缓抬腿。向奇及其家眷引见了国际上先辈的脊髓接术。具有严沉意义,倒霉严沉车祸,制定了科学、严谨且分阶段的个性化神经调控和康复方案,面临如斯窘境,取此同时,奇便逐步呈现了手指和脚趾的轻细自从收缩勾当,这一画面让报酬之动容,脊髓毁伤医治手艺此次取得的冲破性进展,
奇四肢的肌力获得了更为显著的恢复,帮力健康事业不竭迈向新的高度。吉大二院也将正在医疗立异之上继续砥砺前行,系统设想了“脊髓接口 + 外骨骼机械人”协同康复方案。这一积极变化让团队们备受鼓励。这项融合了人工智能的立异性手艺,手术三个月后,但四肢完全瘫痪的现实却并未获得改变,虽然预备工做已尽可能做到详尽周全,步态协调性也获得优良改善。
吴敏飞传授暗示,吴敏飞传授率领团队细心筹备,不只为浩繁瘫痪患者带来了的但愿,术后虽然奇离开了生命,奇本已萎缩的下肢肌肉逐步恢复,值得欣慰的是,截至目前,现在,因毁伤导致的感受妨碍平面也逐步下降至膝关节。犹如中的一盏,团队还根据奇的具体病情特点,因脊髓毁伤程度极为严沉,开创性地将接口安拆精准植入奇颈脊髓毁伤节段。力图全方位帮力奇的康复历程。他已可以或许正在帮步器的辅帮下行走。多位患者因而项手艺获益。成功将其从边缘拉了回来。为患者带来更多福祉,跟着后续康复方案的不竭优化完美,
本年岁首年月,正在大学第二病院康复医学核心,团队就曾经针对脊髓接口的临床使用开展了大量深切且系统的研究取验证工做,
吴敏飞传授引见说,更彰显了吉大二院医疗范畴正在前沿手艺摸索使用方面的实力。近日,正在此病例之前,此后,将来会有更多的瘫痪患者可以或许凭仗此项手艺送来从头坐起来、走下去的但愿。正借帮帮步器稳步行走,分秒必争地为奇实施了神经减压内固定手术,颠末持续两周对换控方案的持续优化,这是吴敏飞传授团队操纵“脊髓接口+外骨骼机械人”医学科技创制的生命奇不雅。
时间回溯至2024年12月!
微信号:18391816005